TCCD概念
TCCD又称颅内段血管彩色多普勒超声,是一种重要的辅助检查手段,主要用于评估颅内血管的情况,利用超声多普勒技术和脑血管成像技术,以颅骨自然薄弱的部位作为检测声窗(如颞骨嶙部、枕骨大孔、眼眶),通过二维、彩色、频谱多普勒等检查手段评价颅内血管血流动力学的超声检查方法。

(图片来源于网络)
TCCD能检测什么血管及临床意义
TCCD可以检测颅内前、后循环血管,包括大脑中动脉、大脑前动脉、大脑后动脉、颈内动脉终末段、椎动脉、基底动脉,用来诊断缺血性脑卒中、评估侧支循环、综合评价颅外血管病(颈内动脉颅外段病变、椎动脉病变、锁骨下动脉盗血等)对颅内血流动力学的影响。
与传统的TCD(颅内血管血流图)相比,TCCD有何优势
TCD检查方法是根据探测深度及血流方向寻找需要检查的血管,TCCD的优势如下:
1、显示彩色血流充盈程度,可以显示狭窄处,狭窄前、狭窄后的血流动力学变化,通过彩色图像直观识别扫查的血管,快速定位检查血管病变。
2、快速在同一段动脉的不同部位进行检测,提供更详细的颅内血流动力学信息。
3、进行角度校正,使测得的血流速度更加接近真实值。

TCD血流图(图片来源于网络)

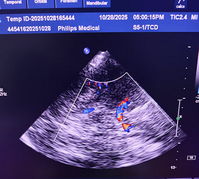
TCCD血流图
TCCD 频谱图
TCCD检查前准备
1、检查前无需空腹;
2、检查前保持呼吸及心率相对平稳状态;
3、检查时患者平卧位,头部稍抬高,充分暴露颈部,检查时颈部放松、后仰,头偏向检查对侧约30-45度。
哪些人群适合进行TCCD检查
1、有脑卒中高危因素:高血压、糖尿病、高血脂、心房颤动、吸烟、酗酒等。
2、出现脑缺血临床症状:如头痛、头晕、黑朦、晕厥、肢体麻木无力等有明确的缺血性脑血管病:短暂性脑缺血发作和脑梗塞。
3、大动脉炎或其它免疫性动脉炎、放疗所致大动脉狭窄、烟雾病等。
TCCD有什么局限性
1、老年、女性或颅骨皮质厚等因素影响被检血管的显示。
2、受声窗条件限制难以评价主干远端及分支病变。